
Manejo de los 3 planos del espacio en ortodoncia. A propósito de un caso
Artículo escrito para la revista de ODONTOLOGOS DE HOY volumen 12. Nº 57.
Colaboradora del Máster de Ortodoncia Univ. Murcia y UCAV
Directora Académica Máster OIA®
Especialista en Rehabilitación Oral
Disfunción Témporo-mandibular y Dolor Orofacial
La prevalencia de pacientes con problemas en los tres planos del espacio (plano sagital, plano vertical y plano transversal) en Ortodoncia, varía dependiendo de la población y la muestra de pacientes estudiada, así como del tipo y severidad de las maloclusiones evaluadas. Sin embargo, es común encontrar pacientes que presentan afectaciones en más de un plano del espacio desde un punto de evaluación diagnóstica.
Este caso clínico, muestra cómo se manejaron, desde un enfoque multidisciplinar, los problemas multiplanares, en una paciente adolescente en crecimiento.
Palabras Clave: Ortodoncia Interdisciplinar, diagnóstico 3D, articulación témporo-mandibular, CBCT, anclaje esquelético.
The prevalence of patients with problems in the three planes of space (sagittal plane, vertical plane and transversal plane) in Orthodontics varies depending on the population and the sample of patients studied, as well as the type and severity of the malocclusions evaluated. However, it is common to find patients who present impairments in more than one plane of space from a point of diagnostic evaluation.
This clinical case shows how multiplanar problems were managed from a multidisciplinary approach in a growing adolescent patient.
Keywords: Interdisciplinary Orthodontics, 3D diagnosis, temporo-mandibular joint, CBCT, skeletal anchorage.
En general, las maloclusiones pueden ser de naturaleza compleja y afectar múltiples planos del espacio de manera simultánea. Por ejemplo, una maloclusión Clase II esquelética, que involucra una retrusión mandibular en el plano sagital, puede estar asociada con una mordida profunda, que es un problema en el plano vertical, y con una compresión maxilar, que es un problema en el plano transversal.
Es difícil proporcionar un porcentaje exacto de pacientes con problemas en los tres planos del espacio en ortodoncia¹, sin embargo, se estima que una proporción significativa de pacientes que buscan tratamiento ortodóntico pueden tener problemas en más de un plano del espacio, lo que destaca la importancia de una evaluación completa y un enfoque integral en eldiagnóstico y planificación del tratamiento ortodóntico² para abordar las necesidades de cada paciente de manera individualizadapara ser más previsibles en la consecución de los objetivos de tratamiento.
Paciente adolescente de 11 años sin la menarquia y sin antecedentes ni alergias declaradas.
Durante la anamnesis, la paciente manifiesta estar acomplejada por su sonrisa y la disposición de sus dientes anteriores, comentando además que ·”se le ve mucha encía al sonreír”(Figura 2).
En el análisis facial, se observa una dificultad para el sellado labial y una exposición gingival en ambos corredores bucales. En fotografía de perfil destaca un retrognatismo mandibular severo con disminución del 1/3 facial inferior. (Figuras 1,2 y 3).
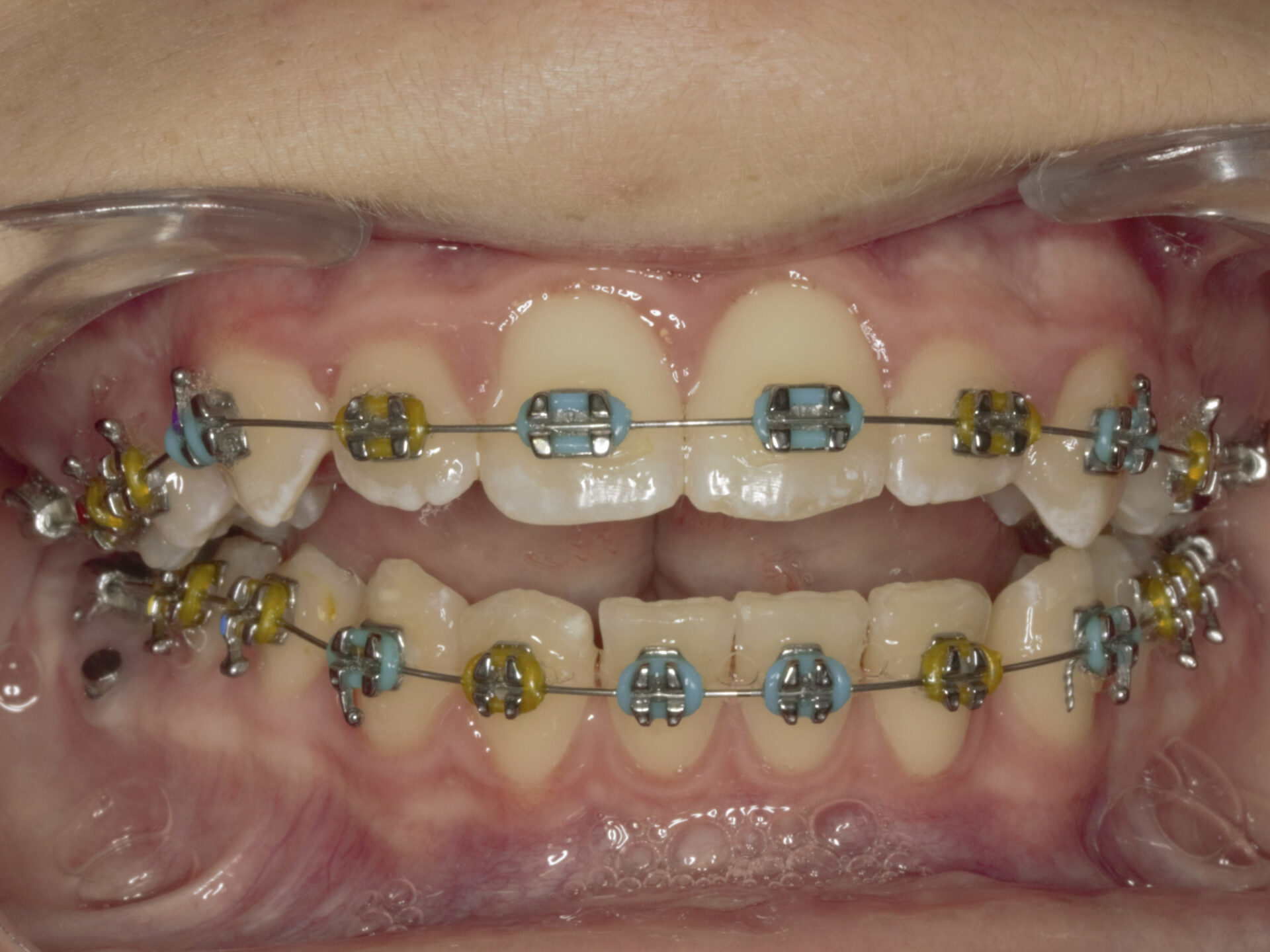
En el análisis intraoral, encontramos una Clase II molar con una mordida tijera completa del lado derecho con una pérdida de la dimensión vertical y una oclusión de los molares superiores contra la encía de la arcada inferior. Además, la paciente presenta una sobremordida de >2/3 y la imposibilidad de erupción de pieza 13, 14 y 23 por la pérdida de espacio vertical por oclusión del 33, 43 y 44. (Figuras 4, 5 y 6).
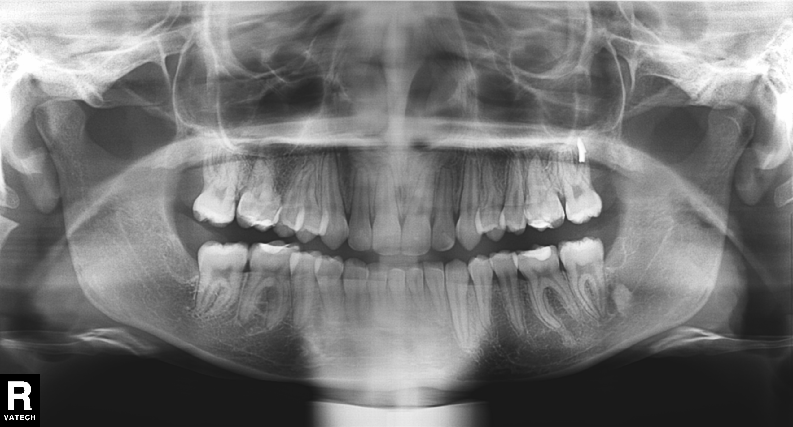
En la Ortopantomografía se observa una Curva de Spee inferior muy acentuada y los 4 cordales en formación.
|
|
PLANO SAGITAL
|
PLANO TRANSVERSAL
|
PLANO VERTICAL
|
|---|---|---|---|
|
ÓSEO
|
Clase II esquelética.
|
Paladar asimétrico en lado derecho.
|
Paciente Braquifacial Severo.
Pérdida de la Dimensión Vertical posterior bilateral. Descenso del plano maxilar derecho. |
|
DENTARIO
|
Clase II Molar bilateral.
|
Mordida Tijera de 1º y 4º cuadrante.
|
Sobremordida de > 2/3.
|
|
Resalta aumentado.
|
Líneas ½ dentarias no coincidentes (*).
(*) En apertura, centra las líneas 1/2. |
Ausencia de espacio para erupción vertical de 13,14 y 23.
|
Para el análisis del estado articular y del ROM (Range of Motion) se utilizaron los criterios diagnósticos DC/TMD³, no se encontró ningúnsigno o síntomasdetrastornos temporomandibulares.(Figuras 12,13 y 14).
Debido a que esta paciente estaba en crecimiento, decidimos apostar por usar el potencial de desarrollo y trabajar rehabilitando aspectos funcionales como el posicionamiento de la lengua y la normalización de la musculatura como clave de estabilidad.
Los objetivos de tratamiento fueron:
El plan de tratamiento que se estableció para afrontar la resolución de todos estos problemas consistió en cementar brackets de Técnica MBT⁴ en ambas arcadas (a excepción de 13,15,23 y 25 porque no habían erupcionado) y se diseñó una estructura colada anclada sobre 3 implantes colocador en paladar para trabajar en la resolución de los problemas transversales , sagitales y verticales. (Figuras 15,16,17,18, 19 y 20).
A los 8 meses de tratamiento, conseguimos corregir la mordida tijera del lado derecho y se retira la estructura colada con el levante anterior y los posteriores. Además, se consiguió una mejoría en la relación sagital esquelética sin todavía haber recurrido al uso de elásticos intermaxilares. Es en esta cita, cuando empezamos a usar elásticos de Clase II cortos de 3/16 2,5 Oz. con arcos de Niti super elásticos de 0,16 en ambas arcadas. (Figuras 21, 22, 23 y 24).
A los 11 meses, observamos la nivelación de las arcadas dentarias y el cierre de la mordida. (Figuras 25 ,26 y 27).
A los 17 meses, ya en fase de arcos de acero, colocamos un arco de cierre superior de 0,16 x 0,22 y elásticos de Clase II 3/16 6 Oz, para cerrar unos diastemas en distal de 12 y 22. (Figuras 28,29 y 30).
A los 20 meses, cambiamos el arco de cierre superior porque se partió y colocamos uno nuevo esta vez sólo con el asa entre 22 y 23. Los elásticos en este momento son de Clase II 3/16 6 Oz. en lado izquierdo y triangular 3/16 6 Oz. en lado izquierdo. (Figuras 31, 32 y 33).
A los 23 meses de haber iniciado el tratamiento, con los meses de pandemia por en medio y citas que, por logística, la paciente no puedo asistir porque recordemos que vivía en Tenerife, terminamos el tratamiento de Ortodoncia con estos registros finales. (Figuras 34, 35, 36, 37, 38, 39, 40 y 41).
Cada vez es más frecuente los casos de pacientes que acuden a la clínica dental para demandar tratamientos integrales que precisan de la intervención de varios especialistas para construir tratamientos interdisciplinares⁶ ⁷.
Este caso que presentamos, la paciente y su familia, acudieron a Clínica Dental Tissot& Cabaña, por derivación de una compañera de Tenerife por la complejidad de su caso.
La paciente, presentaba problemas óseos y dentarios en el plano sagital, en el plano transversal y vertical. Tanto ella como su familia, eran conscientes que la complejidad del caso y tanto los objetivos como el plan de tratamiento propuesto, encajaban con sus expectativas y sus posibilidades económicas, estableciéndose así una relación de confianza con la clínica y los profesionales que iban a intervenir en su tratamiento.
Afrontar tratamientos de Ortodoncia de pacientes con alteraciones en los 3 planos del espacio, es algo con lo que comúnmente debemos convivir los ortodoncistas, ya que la prevalencia de estos casos empieza a ser alta en el cómputo general de nuestros pacientes.
El reto consiste en resolver la mayor parte de estos problemas sin generar tratamientos que se alarguen en el tiempo y que cumplan con las expectativas de pacientes cada vez más exigentes⁷.
La clave está en hacer un correcto diagnóstico, haciendo uso de la información obtenida en la anamnesis y ayudarnos de la obtención de los datos objetivos que nos aportan todos los registros del paciente. Y por supuesto, es fundamental implementar para estos casos de asimetrías y canteos, una herramienta potente como es el CBCT (Cone Beam ComputedTomography) y en base a este diagnóstico personalizado, crean un plan de trabajo estructurado en ocasiones en distintas etapas terapéuticas.
Los resultados conseguidos con este tratamiento interdisciplinar se consideraron exitosos por alcanzar un desarrollo transversal equilibrado en el maxilar superior, un estimulo de crecimiento mandibular con una mejora considerable en el perfil de la paciente. Una armonía de la sonrisa con exposición gingival normalizada y una estabilidad oclusal y articular que nos hizo afrontar la fase de retención postratamiento con optimismo.

Artículo escrito para la revista de ODONTOLOGOS DE HOY volumen 12. Nº 57.

Formación dirigida a ortodoncistas que posean experiencia y que quieran mejorar su capacidad diagnóstica y profundizar en las técnicas y sistemas de tratamiento que son actualmente los más innovadores en Ortodoncia.